Cabinet dentaire à Hérimoncourt - Pays de Montbéliard
Docteurs Lydie Heck, Chloé et Jade
Malavolta
Qui sommes nous
Le cabinet
Notre équipe
Plan d'accès
En cas d'urgences
Fiches Conseils
Vidéos
Contact
2 Rue du Commandant Rolland, 25310 HERIMONCOURT
+33 3 81 35 77 99
Afficher le téléphone
Cabinet dentaire à Hérimoncourt - Pays de Montbéliard
Docteurs Lydie Heck, Chloé et Jade
Malavolta
Qui sommes nous
Le cabinet
Notre équipe
Plan d'accès
En cas d'urgences
Fiches Conseils
Vidéos
Contact
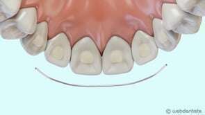
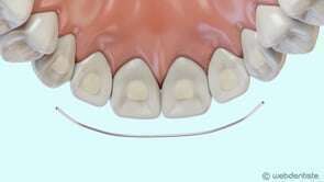
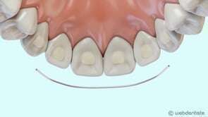
Fil de contention
Vidéos 3D
Précédent
Vrai ou faux ?
Suivant
Le surfaçage
Articles similaires
L'hygiène en orthodontie
Vidéos 3D
Traitement orthodontique : les règles du succès
Vidéos 3D
Nettoyage des brackets avec brossette interdentaire
Vidéos 3D
Conseils pratiques pour une bonne hygiène bucco-dentaire avec un appareil d'orthodontie
Vidéos 3D
Partager
Twitter
Partager
Partager
Envoyer
Copier
Confidentialité et cookie
Mentions légales
Conditions Générales Utilisation
Charte déontologique
Ordre national
Annuaires chirurgiens dentistes
Honoraire & Remboursement
Hygiène & Asepsie
Où nous trouver / Plan d’accès
Rechercher
Rechercher
Création par
Connexion
Vidéo en cours de lecture